A la une
Trisomie
LMD_trisomie_nouveau_traitement

Trisomie 21: un nouveau traitement source d’espoir

Des chercheurs du Centre hospitalier universitaire vaudois (CHUV), en collaboration avec une équipe de...
Lire la suite
Trisomie

L'état de la recherche sur la trisomie 21

Le 21 mars est la Journée mondiale de la trisomie 21 ou syndrome de Down.
Lire la suite
Trisomie

Du nouveau dans le domaine de la trisomie 21

Un nouveau pas a été franchi dans l’explication de la trisomie 21, appelée aussi le syndrome de Down, une maladie génétique fréquente.
Lire la suite
Génétique
interview_antonarakis_genetique

«Les avancées de la génétique vont changer la pratique de la médecine et l’éthique de la procréation»

Directeur du département de médecine génétique de l’Université de Genève, le professeur Stylianos Antonarakis...
Lire la suite
Trisomie

La Trisomie 21 à l’heure du choix

Le dépistage prénatal de la Trisomie 21 est une avancée technologique, mais il place aussi les parents devant une décision difficile: faut-il interrompre...
Lire la suite
Trisomie
Des alternatives au diagnostic prénatal invasif?

Des alternatives au diagnostic prénatal invasif?

Une nouvelle méthode de diagnostic prénatal permet de diminuer le nombre de diagnostics prénatals invasifs....
Lire la suite
Trisomie
Trisomie 21: premiers pas moléculaires vers une thérapie génique

Trisomie 21: premiers pas moléculaires vers une thérapie génique

Des chercheurs américains et chinois viennent de découvrir une anomalie moléculaire expliquant certains...
Lire la suite
Trisomie
Trisomie 21: nouveau test

Trisomie 21: nouveau test

Disponible depuis l’été dernier, ce dépistage sanguin prénatal offre un avantage, mais comporte plusieurs...
Lire la suite
Trisomie
Les enjeux du diagnostic préimplantatoire

Les enjeux du diagnostic préimplantatoire

Totalement interdit en Suisse, le diagnostic préimplantatoire (DPI) pourrait y être autorisé dans un...
Lire la suite
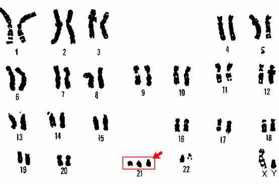
Trisomie
Caryotype d'un garçon atteint de trisomie 21 (syndrome de Down) – Source: U.S. Department of Energy Human Genome Program

La trisomie 21 corrigée sur des cellules humaines en culture

Des chercheurs du département de médecine de l’université de Washington ont réussi à corriger le défaut...
Lire la suite
Trisomie
Un foetus

Séquencer le génome avant la naissance est possible. Est-ce souhaitable?

Les progrès de la génétique et des prix de moins en moins élevés font que cette question va prendre une...
Lire la suite
Trisomie
Tubes d'analyses

Trisomies 13 et 18: grosses divergences sur la «qualité de vie»

S’intéresser aux personnes porteuses d’une anomalie chromosomique n’est jamais une chose très facile....
Lire la suite

Loading...