Santé des femmes
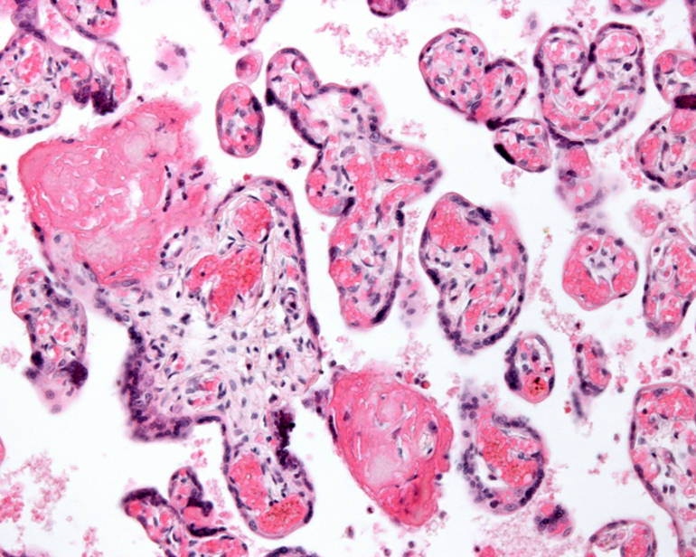
Une maladie inflammatoire du placenta serait à l'origine de fausses couches à répétition
Environ une grossesse sur quatre se termine par une fausse couche.
Lire la suite
Santé des femmes
Coup de coeur: un bébé né après une transposition utérine
Stéphane Délétroz revient sur une première européenne au Centre hospitalier du Valais romand: un bébé est né après une transposition utérine.
Lire la suite
Santé des femmes
Fécondité en baisse: un taux de 1,29 enfant par femme en Suisse
En 2024, la fécondité en Suisse atteint un taux historiquement bas de 1,29 enfant par femme.
Lire la suite
Santé des femmes
Le syndrome des ovaires polykystiques, un mal encore sous-estimé
Touchant jusqu’à une femme sur quatre, ce dysfonctionnement hormonal engendre notamment pilosité excessive,...
Lire la suite
Dépression
Journée mondiale de la santé mentale: la prédisposition génétique de la dépression chez les femmes
À l'occasion de la Journée mondiale de la santé mentale, une étude récente de Nature Communications met en lumière une prédisposition génétique des femmes...
Lire la suite
Mécanismes du cerveau
L'influence de la ménopause sur le cerveau
La ménopause, ainsi que la période qui la précède, influence le cerveau, causant parfois un "brouillard mental" et des troubles de l'humeur.
Lire la suite
Grossesse et désir d'enfant
Un bébé né après une transplantation utérine
C'est une première européenne au Centre hospitalier du Valais romand: un bébé est né après une transposition utérine.
Lire la suite
Santé des femmes
Tout sur les lochies, ces saignements qui surviennent au tout début du post-partum
Après l'accouchement, le corps poursuit son travail avec les lochies, des saignements qui aident à cicatriser et nettoyer l'utérus, prévenant les infections.
Lire la suite
Autres méthodes contraceptives
La contraception définitive par ligature ou retrait des trompes
Certaines personnes ont la conviction absolue qu’elles ne voudront jamais d’enfant.
Lire la suite
Santé des femmes
Mieux mesurer la sensibilité des organes génitaux féminins pour mieux en soigner les mutilations
Jasmine Abdulcadir reçoit le prix Leenards 2025 pour un dispositif mesurant la sensibilité génitale, crucial pour les femmes victimes de mutilations génitales.
Lire la suite
Don du sang
CHUV: Avancée dans le traitement des incompatibilités Rhésus chez les femmes enceintes
Le Centre hospitalier universitaire vaudois (CHUV) participe à une étude sur un nouveau traitement pour les incompatibilités mère-enfant qui peuvent se...
Lire la suite
Santé des femmes
La grossesse accélère le vieillissement… mais le post-partum rajeunit
La grossesse est un moment de profonde transformation, exigeante en tous points de vue pour le corps de la femme.
Lire la suite
Loading...
