Une maladie inflammatoire du placenta serait à l'origine de fausses couches à répétition
Dernière mise à jour 27/01/26 | Audio
Loading the player ...
JOSE LUIS CALVO MARTIN & JOSE ENRIQUE GARCIA-MAURIÑO MUZQUIZ
Environ une grossesse sur quatre se termine par une fausse couche.
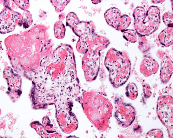
Dans certains cas rares, ces pertes se répètent, sans cause clairement identifiable. Des médecins du CHUV et de lʹUNIL décrivent une approche thérapeutique inédite pour des femmes souffrant de pertes de grossesse à répétition liées à une maladie inflammatoire très rare du placenta.
Mathilde Gavillet, hématologue au CHUV est l'invitée d'Arditë Shabani.
Une émission CQFD - RTS La Première
Articles sur le meme sujet
Se savoir à risque de souffrir d’un cancer
Quand la génétique est impliquée dans la survenue d’un cancer du sein, la maladie prend une dimension familiale. L’oncogénétique est là pour aider les personnes à mieux comprendre les risques et à en parler avec leurs proches.
Le syndrome des ovaires polykystiques, un mal encore sous-estimé
Touchant jusqu’à une femme sur quatre, ce dysfonctionnement hormonal engendre notamment pilosité excessive, surpoids et perte de cheveux (alopécie). Il est également associé à un risque élevé de diabète de type2.
Quand les hormones font la pluie et le beau temps
De la puberté à la ménopause, les femmes sont chaque mois sujettes à des variations hormonales importantes. Certaines en souffrent, d’autres pas. Explications.
Videos sur le meme sujet
Un nouveau pôle aux HUG pour mieux prévenir les maladies cardiovasculaires chez les femmes
Les Hôpitaux universitaires de Genève lancent un Pôle de santé cardiovasculaire dédié aux femmes, afin de mieux détecter, prévenir et prendre en charge des maladies cardiaques encore trop souvent sous-diagnostiquées chez elles.
Coup de coeur: un bébé né après une transposition utérine
Stéphane Délétroz revient sur une première européenne au Centre hospitalier du Valais romand: un bébé est né après une transposition utérine.
Fécondité en baisse: un taux de 1,29 enfant par femme en Suisse
En 2024, la fécondité en Suisse atteint un taux historiquement bas de 1,29 enfant par femme.


